March 16, 2020 Issue
Features
Economy
Government
Government
U.S. Virus Response Marred by Overconfidence and Delays
By Margaret Newkirk and Paula Dwyer

Scoring World Leaders’ Response to the Coronavirus Outbreak
By Benjamin Harvey, Kanga Kong, Philip Heijmans, Peter Martin, Alessandro Speciale and John Follain

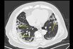
Seattle’s Patient Zero Spread Coronavirus Despite Ebola-Style Lockdown
By Peter Robison, Dina Bass and Robert Langreth

Coronavirus Ravages Iran All the Way to the Top
By Arsalan Shahla, Golnar Motevalli and Marc Champion

Business
Coronavirus Can’t Stop America’s Largest Construction Conference
By Joe Deaux and Christopher Palmeri

Us
Travelers Face Losses for Cancelations—and Great Bargains for the Brave
By Corinne Gretler and Stefan Nicola

Virus
Last Thing


































